Exceptional Dental Care for Everyone
At Navleen Dental Clinic, we specialize in providing world-class dental services. With over 15 years of experience and 20,000 patients treated, we ensure quality care at affordable prices.
Your Smile, Our Priority
Expert Care, Affordable Prices
Our clinic is dedicated to delivering exceptional dental services tailored to your needs. We believe in making dental care accessible without compromising on quality, ensuring a healthy smile for everyone.
Navleen Dental Clinic provided exceptional care and made my dental experience comfortable and stress-free.
Rakesh Sharma
I highly recommend Navleen Dental Clinic for their professionalism and outstanding dental services at affordable prices.
Rupinder Kaur
★★★★★
★★★★★
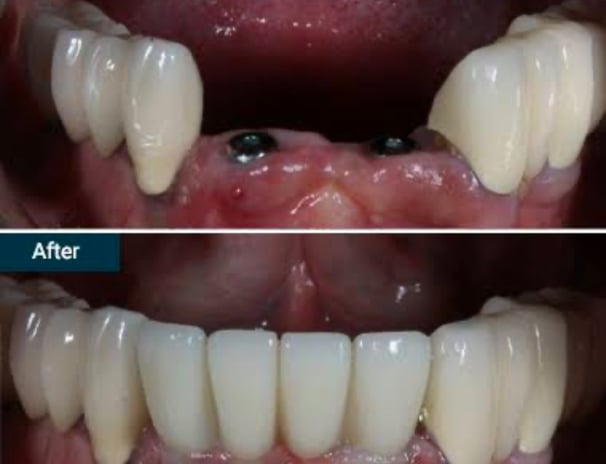
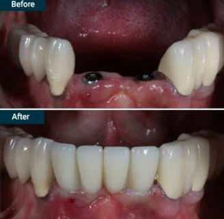
Gallery






Showcasing our commitment to quality dental care and patients.
Gallery


Showcasing our commitment to quality dental care and patients.
